Search Videos and More
Showing 1 - 8 of 8 results
Study Paves Path to Improved Diagnosis, Treatment of NUT Carcinoma
Dana-Farber research uncovered the potential for underdiagnosis of this aggressive cancer and identified additional tests required for an accurate diagnosis.FDA Approves Immune Checkpoint Inhibitor Drug for Patients With Resectable Locally Advanced Head and Neck Cancer
Pembrolizumab, an immune checkpoint inhibitor, has been approved by the U.S. Food and Drug Administration (FDA) for the treatment of patients with resectable locally advanced head and neck squamous cell carcinoma whose tumors express PD-L1 [Combined Positive Score (CPS) ?1] as determined by an FDA-approved test.Immunotherapy Before and After Surgery Improves Outcomes in Head and Neck Cancer
Patients with locally advanced head and neck cancer who received the immune checkpoint inhibitor pembrolizumab before, during and after standard-of-care surgery had longer event-free survival without the cancer coming back and higher rates of substantial tumor shrinkage prior to surgery, according to the first interim analysis of a randomized, open-label phase 3 clinical trial led by investigators fromĀ Dana-Farber Brigham Cancer CenterĀ and Washington University School of Medicine in St. Louis.New Guidelines for Radiation Therapy for HPV-associated Head and Neck Cancer
Radiation therapy for HPV-positive oropharyngeal squamous cell carcinoma: An ASTRO clinical practice guidelineDana-Farber Leads Adaptive, Efficient Multi-arm Phase 2 Clinical Trial for Glioblastoma
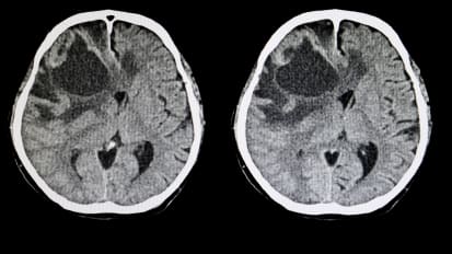
An innovative phase 2 clinical trial led by Dana-Farber Cancer Institute in collaboration with 10 major brain tumor centers around the country and designed to find new potential treatments for glioblastoma has reported initial results in the Journal of Clinical Oncology.AI-Driven Muscle Mass Assessment Could Improve Care for Head and Neck Cancer Patients
Researchers from Dana-Farber Cancer Institute have found a way to use artificial intelligence (AI) to diagnose muscle wasting, called sarcopenia, in patients with head and neck cancer.ASCO 2023: Head And Neck Research Presented by Glenn Hanna, MD
Encouraging anti-tumor activity for patients with metastatic head & neck squamous cell carcinoma who are HPV-negative and treated with bifunctional EGFR/TGF-beta inhibitor BCA101 w/pembrolizumab.Clinical Trial Points to Treatment Advances for Glioma Patients for First Time in Decades
In the phase 3 INDIGO clinical trial co-led by Dana-Farber Cancer Institute, vorasidenib significantly prolonged progression free survival and delayed radiation and chemotherapy for patients with Grade 2 IDH-mutant glioma.